顎関節の治療の流れ
お口の中の写真、歯全体のレントゲン写真、歯列の模型製作、顎関節のCT・MRI、歯の状態、顎の状態、顎を動かす筋肉の状態(触診・筋電図)、姿勢測定・分析、足圧荷重分布測定・分析、顎の動きの記録・分析などを行い、顎関節の病態診断を行い、その状態に合わせた治療を行っていきます。


上記に当てはまる項目がある方は、
顎関節症の可能性があります。
さらに、、、
顎関節の状態が影響を及ぼして、
・頭痛・耳鳴り・めまい
などの症状が発現する場合があります。
顎関節症は、下顎の関節部分(顎関節)にある「関節円盤」というクッションのような組織がずれてしまい、下顎の骨(関節頭)が正しく動かなくなることで、関節に負担がかかり、カクカクという音や痛み、口が開きづらいといった症状が現れる疾患です。
しかし、顎関節症は
顎だけに原因があるわけではありません。
顎の状態・位置は全身の状態と相互に関係があり、
骨格や筋肉の影響だけでなく姿勢の影響も受けてしまいます。
・姿勢の状態によって顎の位置がズレてしまう
・顎のズレにより姿勢がゆがんでしまう
|
そして、顎関節症を放置してしまうと、、、
・口が開かなくなる
・顎の位置がどんどんずれていく
・顔のゆがみ、身体のゆがみとだんだん大きなゆがみに繋がっていく
上記のように、
どんどん悪化していってしまいます。
少しでも思い当たるポイントがあれば、
まずは当院までご相談ください。
当院の名医があなたの不安・悩みを
解決致します。
学会での研究発表や歯科医師向けセミナー講師としても活躍するドクターが、知見をもとに治療を行います。常にアップデートされたノウハウで、精度の高い診断・治療プランをご提供します。


日本顎咬合学学会
咬み合わせ認定医
大林 匠Obayashi Takumi
顎関節だけでなく、頸椎や姿勢、咬合バランスなど全身の状態をトータルで評価。単なる症状抑制ではなく、根本原因に迫り、再発リスクを最小限に抑える治療計画を立案します。
顎関節の不調を解消した後も、同じ医院内で被せ物や咬合調整などの補綴治療を実施。複数の医院を掛け持ちする必要がなく、患者様の負担を軽減しつつ治療精度を向上させます。
顎関節治療後は、顎関節症に精通した矯正専門医がチームでフォローアップ。
顎の安定後に最適な矯正プランを組み立て、治療効果を長持ちさせます。


矯正歯科専門ドクター
本告 知徳Motoori Tomonori
被せ物(補綴)治療のエキスパートと矯正歯科の専門医がチーム医療を展開。咬合機能と審美性を両立させたハイレベルな治療を、ワンストップで受けられます。
大掛かりな外科処置ではなく、まずは顎関節の安定化を目指すマウスピース療法や物理療法などの保存的治療を優先。症状やライフスタイルに応じた最適なプランをご提案します。
当院には、咬み合わせ認定医が在籍しており、患者様のお悩みを的確に解決していきます。
少しでも気になることがあれば、
まずは当院までご相談ください。
当院の名医があなたの不安・悩みを
解決致します。
当院では、
・なぜ顎の位置がずれてしまったのか
・動きが悪くなってしまったのか
・違和感が出てしまったのか
という根本的な原因を見つけていき、治療方針だけでなく、
再発防止策も考えた上で顎の治療を行います。
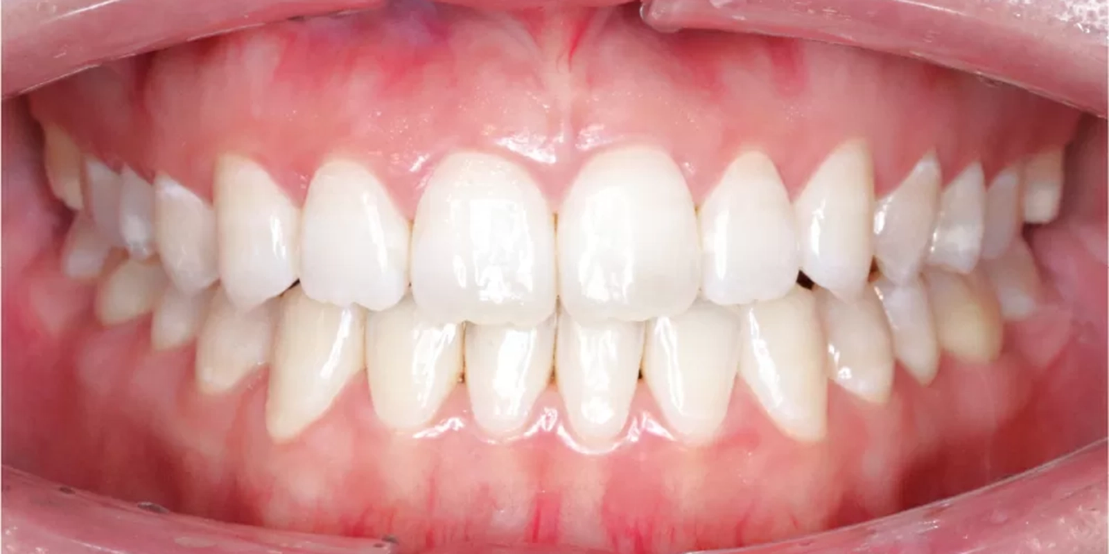
| 治療期間 | 3か月 |
|---|---|
| 治療費 | 10万円 |
| 治療内容 | マウスピース(スプリント)での顎関節治療。顎の位置が正常化されることにより、姿勢に変化を認めた。 |
| 治療のリスク | 治療中:話しづらい 治療後:顎の状態によっては噛み合わせが大きく変わる |
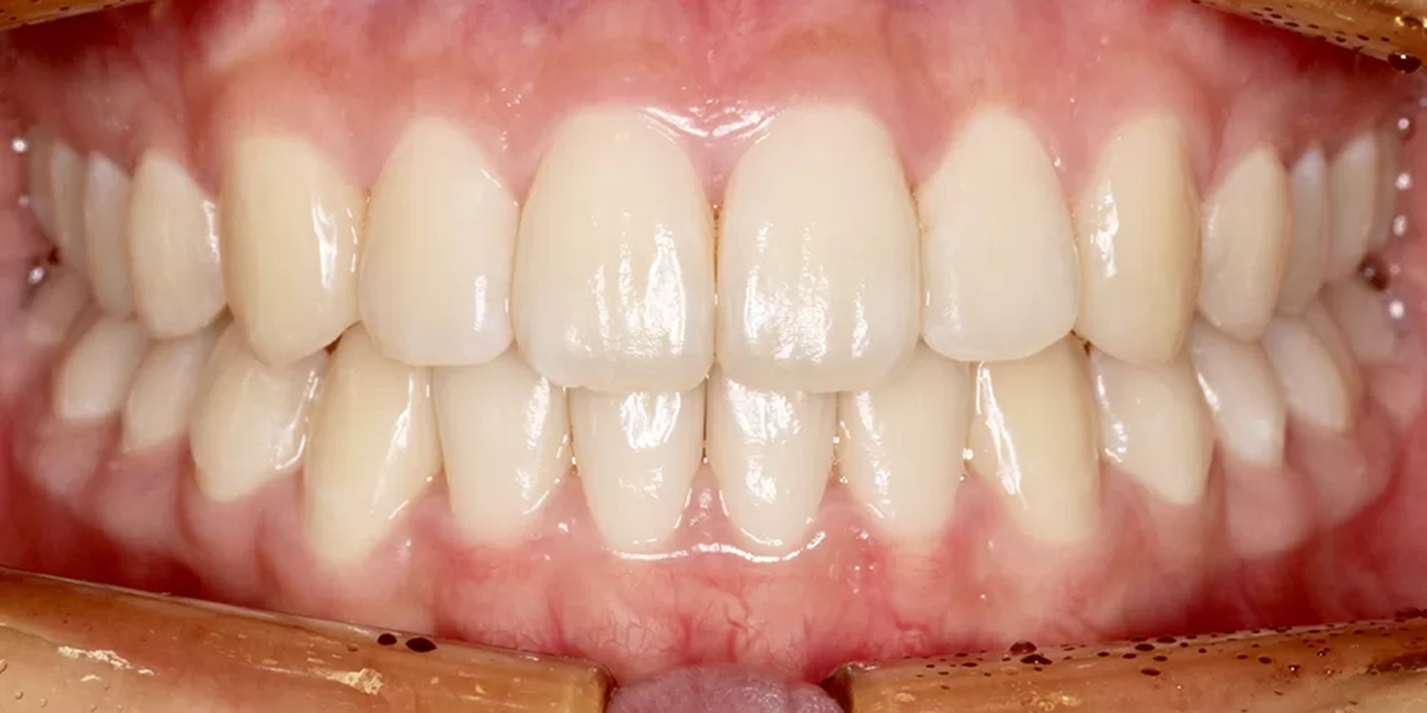
| 治療期間 | 5か月 |
|---|---|
| 治療費 | 50万円 |
| 治療内容 | 顎がずれていたので、適切な位置へ修正しリハビリの後噛み合わせを再構成した。 |
| 治療のリスク | どのくらいの期間ずれていたかによりリハビリ期間(慣れる期間)が異なる |
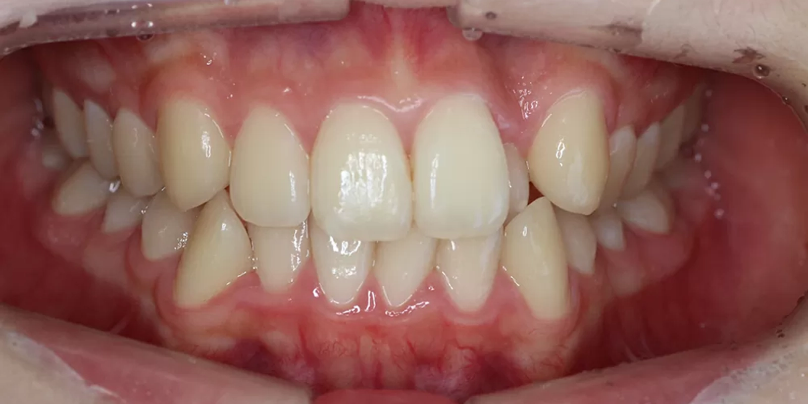
| 治療期間 | 6か月 |
|---|---|
| 治療費 | 180万円 |
| 治療内容 | マウスピース(スプリント)による顎関節治療。顎の位置をもとに戻した位置で被せ物により噛み合わせ治療を行った。上と下の歯でズレていた真ん中が一致するようになった。 |
| 治療のリスク | 噛み合わせがどんどん変わるため治療中は食べづらくなる |
| 治療期間 | 7か月 |
|---|---|
| 治療費 | 214万円 |
| 治療内容 | 左右の噛みあう歯の位置・顎の位置が大幅にずれていたので修正を行った。(適切な噛み合わせの位置で噛み合わせを全体的に再構成した) |
| 治療のリスク | 噛む位置が大幅に変わるためリハビリ期間が必要になる |
顎がずれることで、顔のゆがみだけでなく全身のゆがみを引き起こしていたため、今の歯並びで咬んでいる位置ではなく、顎と筋肉にとって咬みやすい本来の位置で咬めるように咬む位置を被せ物により再構築を行った
| 治療期間 | 8か月 |
|---|---|
| 治療費 | 196万円 |
| 治療のリスク | 咬む位置が変わるため、一時的に違和感や食べづらさを自覚する |
| 治療期間 | 3か月 |
|---|---|
| 治療費 | 10万円 |
| 治療内容 | マウスピース(スプリント)での顎関節治療。顎の位置が正常化されることにより、姿勢に変化を認めた。 |
| 治療のリスク | 治療中:話しづらい 治療後:顎の状態によっては噛み合わせが大きく変わる |
| 治療期間 | 3か月 |
|---|---|
| 治療費 | 10万円 |
| 治療内容 | マウスピース(スプリント)での顎関節治療。顎の位置が正常化されることにより、姿勢に変化を認めた。 |
| 治療のリスク | 治療中:話しづらい 治療後:顎の状態によっては噛み合わせが大きく変わる |
| 治療期間 | 2年 |
|---|---|
| 治療費 | 75万円 |
| 治療内容 | インビザラインによる治療。 |
| 治療のリスク | 歯磨きをしないと虫歯になることがあります。 |
| 治療期間 | 2年 |
|---|---|
| 治療費 | 90万円 |
| 治療内容 | インビザラインによる治療。 |
| 治療のリスク | 歯磨きをしないと虫歯になることがあります。 |
当院には、咬み合わせ認定医が在籍しており、患者様のお悩みを的確に解決していきます。
少しでも気になることがあれば、
まずは当院までご相談ください。
当院の名医があなたの不安・悩みを
解決致します。
個々の顎関節の状態や全身の状態によって、その状態に合った治療を行なっていきます。
ただし、急性症状(開かない・閉じない)がある場合には、顎の位置を正しくさせる治療を最優先に行い、その日のうちに開くように・閉じられるようにします。
また、顎に問題があり、顎が本来の位置にない場合には噛み合う位置も変わってきてしまいます。他にも、顎の動きに左右差があったり、動きが悪かったりすると噛み合う位置も変わってきてしまいます。
その際には、なぜ顎の位置がずれてしまったのか・動きが悪くなってしまったのかという原因を見つけていきます。その後、治療方針と再発防止策を考えた上で顎の治療を行います。
顎の状態に合わせて顎関節の治癒または安静化を図る取り外しのできるマウスピースを作る。(顎の状態により夜間使用、食事以外常時使用、食事時を含む常時使用と種類がある)
顎の状態に合わせて歯の上にプラスチックを張り付けて顎関節の治癒または安静化を図る。
※いずれもその後、顎の状態に合わせて噛み合わせを再構成します。その際、不良な姿勢の場合には自分にとって良い姿勢になるよう身体づくりをしてから噛み合わせをみていきます。
顎関節の治療後には顎の位置が変わることから、噛み合わせが変化します。治療後にご自身の歯で食事がしやすいように噛み合わせや歯並びを変える必要がある場合があります。
その際に、被せ物などによる噛み合わせ治療や歯科矯正による歯ならび・噛み合わせ治療が必要となる。
お口の中の写真、歯全体のレントゲン写真、歯列の模型製作、顎関節のCT・MRI、歯の状態、顎の状態、顎を動かす筋肉の状態(触診・筋電図)、姿勢測定・分析、足圧荷重分布測定・分析、顎の動きの記録・分析などを行い、顎関節の病態診断を行い、その状態に合わせた治療を行っていきます。
| 顎関節の相談・初診時 | 保険診療:4,000円程度 |
|---|---|
| 顎関節治療のみ(保存的治療、物理療法、口腔内装置など) | 10万円 |
| 顎関節治療後の噛み合わせ・歯科矯正治療 | 状態によります |
再発する可能性はあります。特に癖による場合や全身状態が関わっている場合には再発のリスクは高くなってしまいます。
当院には、咬み合わせ認定医が在籍しており、患者様のお悩みを的確に解決していきます。
少しでも気になることがあれば、
まずは当院までご相談ください。
当院の名医があなたの不安・悩みを
解決致します。